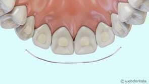
Traitement multi-attaches
Articles similaires
L'hygiène en orthodontie
Vidéos 3D
Traitement multi-attaches
Vidéos 3D
ORTHODONTIE ET HYGIÈNE BUCCO-DENTAIRE
Fiches conseils
200 rue Louis-Victor de Broglie
51430
BEZANNES
Vidéo en cours de lecture
